ホワイトニング・歯石除去・ヤニ落とし

美しく清潔な口元へ 港南台でホワイトニング・歯石・ヤニ汚れを徹底ケア

審美治療とは?

毎日の歯みがきだけでは落としきれない着色汚れや歯石、タバコによるヤニ汚れが気になる方へ。港南台のNEXUS DENTAL CLINICでは、見た目の美しさはもちろん、健康な口腔環境を維持するための予防ケアにも力を入れています。エアフローによる歯面清掃やホワイトニング、丁寧なスケーリングで、清潔感のある口元をサポート。初めての方も安心して受けられるよう、丁寧なカウンセリングと痛みに配慮した施術を心がけています。

こんな方におすすめです

  • 歯の黄ばみや着色汚れが気になる方
  • コーヒーや紅茶、ワインなどの飲み物によるステインを落としたい方
  • タバコによるヤニ汚れが目立ってきたと感じる方
  • 歯石が気になるが、どこで取ればいいか迷っている方
  • 人と話すときの口元に自信を持ちたい方
  • 結婚式や面接、撮影など大切な予定を控えている方

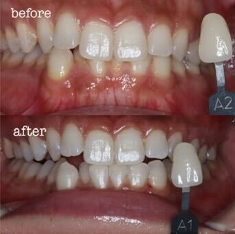
ホワイトニング

オフィスホワイトニング

オフィスホワイトニング

オフィスホワイトニングとは、歯科医院で行うホワイトニングのことです。

当院では、患者さまの歯の状態に合わせてホワイトニング剤を塗布し、光照射でホワイトニング剤を反応させ歯を白くしていきます。
オフィスホワイトニングの最大のメリットは、歯科医院で一気に歯を白くできる点。お忙しい方や急いで歯の白さを実感したい方にはぴったりのホワイトニング治療です。

ホームホワイトニング

ホームホワイトニング

ホームホワイトニングとは、患者さまご自身がご自宅でホワイトニングを行う方法です。

まずは患者さまの歯の型をとってホワイトニングトレーを作製、次の来院時に薬液とともにお渡しします。ホワイトニングトレーの中に薬液を入れ、歯に装着して使用します。 ご自宅でテレビを見ているときや読書をしながら…など、手軽に、好きな時間にホワイトニングを行っていただけるメリットがあります。

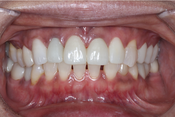
症例①

治療回数2回
費用¥30,000
治療内容初診時クリーニング。2回目オフィスホワイトニング。
薬液追加¥5,500

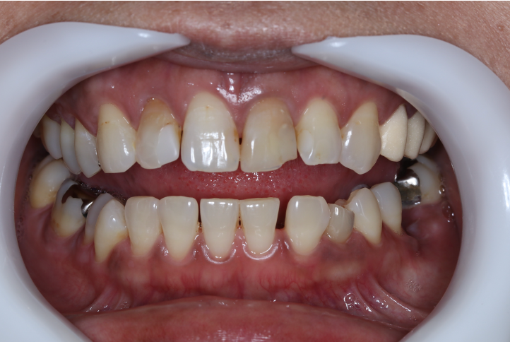
症例②

年齢 40代女性
治療期間 2週間
治療内容 オフィスホワイトニング
治療費用 30,000円

ホワイトニング費用

Tionオフィスホワイトニング(計2回)¥29,700
Tionホームホワイトニング¥29,700
デュアルホワイトニング(オフィス+ホーム)¥44,000
薬液追加¥5,500

歯石やヤニの除去
エアフロークリーニングで、ワンランク上の口腔ケアを

松風

港南台NEXUS DENTAL CLINICでは、最新のEMSエアフロー機器を導入しています。 従来の器具では届きにくかった部分にもアプローチでき、微細なパウダーと温水を使用することで、歯や歯ぐきを傷つけずに歯垢や着色をやさしく除去できます。知覚過敏が気になる方や、矯正器具・被せ物がある方でも安心して受けていただけます。

保険と自費クリーニングの違いとは?

クリーニングには「保険診療」と「自費診療」の2種類があり、金額だけでなく施術内容・効果・快適性に違いがあります。

保険内のクリーニング

  • 保険診療でのクリーニングは、歯周病の治療や進行予防を目的としたもの
  • 歯石を除去する「スケーリング」が中心で、処置時間は1回あたり約20分、最低でも2回以上の通院が必要
  • 使用できる器具や時間に制限があるため、表面的な汚れを取ることが中心となり、 症状のある部位しか処置できない場合もある
  • 上下の歯を別日に分けて行う必要があるケースもあり、来院回数が増えることもある

自費のクリーニング(オーダーメイドメンテナンス)

  • エアフローを使用し、歯の隅々まで汚れや着色を徹底除去
  • 1回60分の施術で完了するため、複数回の通院は不要
  • 審美的ケアも可能で、フッ素塗布や歯面トリートメント、ガムマッサージ、リップエステなどもご希望に応じて行う

自費クリーニングの流れ

1歯垢の染め出し・PCR検査
どれだけ歯科で綺麗にしても、ご自身での歯みがきが不十分では再び汚れがたまります。 当院では染め出しとPCR検査(プラークコントロールレコード)を行い、磨き残しを可視化・数値化。患者様に合った正しいセルフケアのアドバイスも行います。
2EMSエアフロー
エアフローで歯の表面や歯周ポケット内まで丁寧に洗浄。温水使用で刺激を軽減し、快適な施術を実現しています。 矯正装置や被せ物にも対応しており、歯や補綴物を傷つけずにクリーニング可能です。 ※一部疾患のある方や刺激に敏感な方はご相談ください。
3スケーリング
歯の表面・歯茎内部に付着した歯石を除去。 口臭や虫歯・歯周病の予防にもつながります。 ※除去後、一時的に知覚過敏や出血が起こることがありますが、数日で落ち着きます。
4フロス・歯間ブラシ
エアフローやスケーラーが届きにくい歯と歯の間の汚れも、フロスや歯間ブラシで丁寧に除去。虫歯や歯周病の早期発見にもつながります。
5歯面トリートメント
リナメルトリートメントペーストを使用し、歯面をツルツルに整え、汚れの再付着を防止します。ホームケア用のトリートメントもご用意しています。
6ガムマッサージ(歯肉マッサージ)
専用ジェルを使用して歯ぐきをやさしくマッサージ。血行促進や唾液の分泌を促し、リラックス効果も期待できます。

自費クリーニングの費用について

オーダーメイドメインテナンス (1回/60分) ¥22,000

ご予約・お問合せは
お気軽に

港南台にお住いの方で歯周病治療・インプラント治療のことでお困りでしたらご相談ください。

pageTop