症例紹介

治療をご検討中の方へ ― 症例のご紹介

スクリーンショット 2025-12-26 10.16.27

当院では、患者様一人ひとりのお口の状態やご希望に合わせた治療を行っています。 こちらの症例紹介ページでは、実際に当院で行った治療の一部を、治療前後の写真や治療内容とともにご紹介しています。 治療内容や経過、仕上がりのイメージを具体的に知っていただくことで、 治療を検討されている方が少しでも安心してご相談いただければ幸いです。 ※症例は患者様の同意を得たうえで掲載しております。

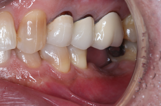
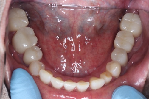
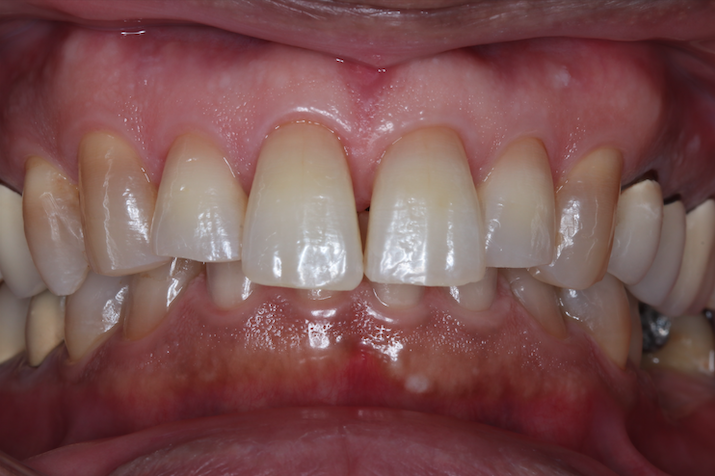
症例①

年齢40代女性
治療期間1ヶ月
治療内容セラミック治療、インプラント治療、ホワイトニング
治療箇所セラミック:左上1番、2番 左下5番、7番 右上1番、2番、3番、4番、5番 右下5番、6番、7番
インプラント:左下6番
治療費用500,000円

インプラント治療、セラミック治療

ホワイトニング

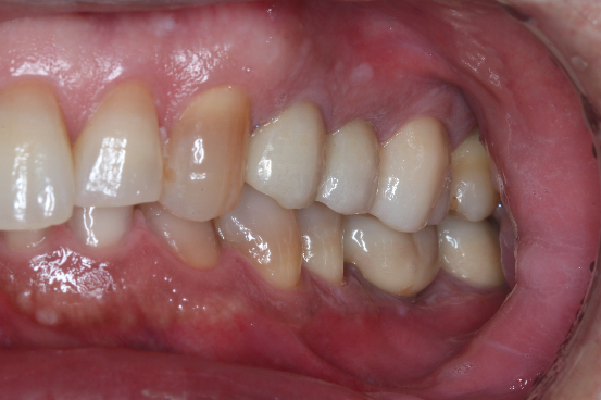
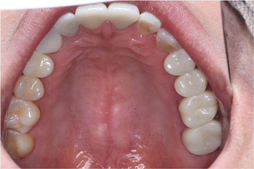
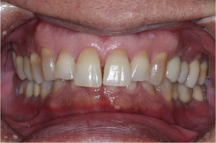
症例②

年齢50代男性
治療期間4ヶ月
治療内容セラミック治療、インプラント治療
治療箇所

インプラント:左下6番

セラミック:左上4番、5番、7番 左下7番 右下6番 右上5番

治療費用950,000円

セラミック治療

インプラント治療

こんな方におすすめです

  • 以前白いつめ物をしたが、その部分の歯が黄ばんできた
  • すきっ歯や銀歯が気になって思い切り笑えない
  • かぶせた歯のフチや、周りの歯肉が黒くなっている
  • 笑うと詰め物の金属が見えるのが気になる
  • 小さいときから歯にシマ模様や色むらがある
  • 年々、歯の黄ばみがひどくなってきた

審美治療の種類について

オールセラミッククラウン

セラミック(陶器材料)でできた被せ物や差し歯をつかった審美的治療。天然歯に近く、金属を使わないので、アレルギーのある人でも安心して治療が受けられる。

ジルコニア

優れた耐久性と強度を誇るジルコニアにセラミックスを焼き付けた被せ物を使い、金属と同レベルの強度で、天然歯に近い白さ・透明感を実現。

メタルボンド

内部は金属。外側部分にのみセラミック(陶器)を貼り付けたクラウン(被せ物、差し歯)。強度があり、変色もしにくいのでどこの部位にも使用しやすい。

セラミックインレー

虫歯治療後の銀歯を歯と同じ色のセラミック製の詰め物で目立ちにくくする治療法です。

ご予約・お問合せは
お気軽に

港南台にお住いの方で歯周病治療・インプラント治療のことでお困りでしたらご相談ください。

pageTop