精密インプラント

こんなお悩みはありませんか?

☑️虫歯や事故などで歯を失ってしまった

☑️歯周病で歯がボロボロになってしまった

☑️入れ歯が合わずに痛みがある

☑️他院でインプラント治療を断られた方

☑️口元の見た目を綺麗にしたい

☑️インプラント治療に興味があるけど不安

 

歯を失った方に再びかむ喜びを取り戻していただきたい

歯を失った方に再びかむ喜びを取り戻していただきたい

虫歯や歯周病で歯を失ったとき、これまではブリッジや入れ歯による治療しか選択肢がありませんでした。しかし、人工の歯根を顎の骨に埋め込み、そこにセラミック製の歯を被せる「インプラント」は、天然歯に近い強度と審美性、そして快適なかみ心地を実現します。

当院では患者さまがインプラント治療に不安を感じないよう充分な設備を整え、さらに10年、20年と長持ちさせるために患者さまへの説明や検査をしっかりと行っています。相談にも対応しておりますので、お気軽にお声がけください。

安心安全な3つの理由

安心して治療をお受けいただけるよう、必要な設備を整備しています

当院ではシミュレーターを用い、インプラントをどこに、どのように打つのかを流れでご覧いただきながら、しっかりとご説明する時間を設けています。また、お口の中全体を立体的に撮影することができるCTも導入。骨の太さや神経の位置を把握できるので、インプラント治療時のリスクを下げられます。

当院にはインプラント専用のオペ室もあり、必要な器具はそこに揃っていますし、オペに適した衛生的な環境となっているので大きな病院に行かなくても専門的な治療を受けることが可能です。
このように設備と空間をしっかりと整えて、説明から治療まで行います。

麻酔医による処置で痛みを軽減しています

インプラントの治療をする際には、専門の麻酔医が、局所麻酔、静脈内鎮静法などの麻酔処置を行います。

静脈内鎮静法は、静脈に点滴をして鎮静薬を注入する方法です。時間が経つと薬が効いてきて眠たくなり、寝てしまうときもあります。そのため、患者さまはほとんど痛みを感じることなく、気づいたらオペが終わっていたということもあります。

インプラントを長持ちさせるための説明・検査を行っています

インプラントは一度つけたらずっとよい状態が保たれるというものではありません。長く快適な状態を保つためには、定期的に歯科医院に通院し、メンテナンスを受ける必要があります。当院では、患者さまへの検査や説明をしっかりと行い、メンテナンスや定期検診の必要性をしっかりとご説明。ご納得いただいたうえで治療に入るようにしています。
治療後のメンテナンスについては、インプラント専用の機材を取り揃えており、 専門的な治療をご提供することが可能です。

また、口内環境がよくない場合もインプラントには適しません。歯周病がある、噛み合わせが悪いなどのトラブルをお持ちの患者さまは、インプラントの持ちが悪いのでお勧めしていません。患者さまに長くインプラントを使っていただけるまずはお口の環境を整える治療から始めるケースもあります。

高品質で審美性の高いプレミアムインプラントを提供

インプラント治療の長所と短所

インプラントメーカーは国内外に多数存在しますが、どのインプラントを使用するかは 治療の成功に大きな影響を与えます。インプラントの品質や価格は様々で、低価格のインプラントを使用することで治療費を抑えることはできますが、品質や信頼性に問題 があることが多く、結果的に治療後の満足度や見た目に影響を及ぼすことが少なくありません。
当院では、患者様に長く安心してご使用いただけるよう、高品質で審美性に優れたプレミアムインプラントを厳選し、患者様の状態やご要望に応じて最適な選択ができるよう努めています。

ストローマンインプラント

 

• 世界シェア No.1

• 世界中の専門医から高評価

ストローマンインプラントは、世界シェア No.1 を誇り、日本国内でも広く使用されてい る信頼性の高いメーカーです。スイスに本社を構えるストローマン社は、全世界で 25%のシェアを占める老舗メーカーであり、国際的非営利学術組織である ITI (International Team for Oral Implantology)の研究データを基にした製品開発を行っており、世界中の専門医から高く評価されています。

ジンマーバイオメットインプラント

 

• アメリカ国内シェア No.1

• 骨の条件が悪い場合に強み

ジンマーバイオメット社のバイオメット3i は、世界シェア No.3、アメリカ国内シェアNo.1 のインプラントメーカーです。ジンマーバイオメットは歯科用インプラントだけでなく、人工股関節や人工脊椎など、医療分野全般で使用されるインプラントを製造しており、 形成外科医からの信頼も厚い企業です。骨の条件が悪い場合でも高い性能を発揮し、多くの患者様に選ばれています。

インプラントをより安全・的確に行うために、サージカルガイドを使用した治療を行っております。

サージカルガイドは、インプラントを埋入する際の位置と角度を正確に決めるための装置です。骨の厚みや角度に合わせてインプラントの埋入位置を事前に設定し、手術中にその位置を確実に守るために使用されます。これにより、治療の精度が大幅に向上し、成功率が高まります。手術時間が短縮され、歯ぐきの切開が最小限で済みます。また神経や血管を誤って傷つけるリスクを抑えられ、術後の痛みや腫れを抑え、治療の負担を軽減します。

このようにリスク軽減はもちろんのこと、インプラントを正確な位置に埋入することで、安定した土台を確保し、長持ちさせることができます。さらにシミュレーションでは、治療後の最終的な噛み合わせまで設計することが可能であり、理想的な噛み合わせを実現ができます。

当院では「安全なインプラント治療」を行うために、サージカルガイドを取り入れています。

形状と素材

サージカルガイドはマウスピースのような形状をしており、レジン製で作られていま す。このため、「サージカルプレート」とも呼ばれることがあります。手術中は歯に被せ て使用し、ドリルを固定するための穴を参考に位置を決めてドリルを挿入します。

サージカルガイドの作製方法

1. CTスキャン

まず、患者様のお口の中を CT スキャンで撮影し、3Dデータを取得します。従来のレントゲンでは2Dの情報しか得られませんが、CT スキャ ンでは360度の3Dデータが得られます。

2. シミュレーション

取得した3Dデータをシミュレーションソフトに取り込み、患者様のお口の状態や手術の進め方を確認します。このシミュレーションに基づいて、最適なインプラントの埋入位置と角度を決定します。

3. 3D プリンターでの作製

シミュレーションの結果を元に、3D プリンターを使用してサージカルガイドを作製します。これにより、高精度なガイドが出来上がります。

サージカルガイドの必要性とメリット

1. 骨の幅が分かる

サージカルガイドを使用することで、骨の幅や形状を正確に把握できます。これにより、インプラントを骨の真ん中に埋入することで、骨への負担を最小限に抑えることができます。

2. 埋入位置と角度が正確

サージカルガイドに設けられた穴を通じて、正確な位置と角度でインプラントを埋入することができます。これにより、脱落や炎症のリスクを減少させることができます。

3. リスクの回避

上顎洞や下顎管といった重要な構造物に触れないようにするためにも、サージカルガイドは重要です。これにより、手術中のリスクを大幅に低減できます。

4. 手術の負担軽減

歯ぐきを切らないフラップレス手術が可能となり、患者様の手術に対する負担を軽減します。術後の痛みや腫れも少なく、回復が早まりま す。

必ずしも必要ではないが・・・

全てのケースでサージカルガイドが必要なわけではありません。一部の簡単な手術ではガイドを使用しないこともあります。しかし、多くのメリットがあるため、より確実な手術を望む方にはサージカルガイドの使用をお勧めします。

サージカルガイドは手術の優秀なサポート役

サージカルガイドは、インプラント手術中に埋入ポジションを決めるための装置であり、事前のシミュレーションに基づいて作製されます。手術中に埋入位置や角度、骨の幅などを知ることができ、インプラントを正しい位置に埋入することが可能になります。これにより、骨やインプラントへの負担が減り、インプラントの寿命が延びることにつながります。

サージカルガイドの使用については、歯科医師と相談し、最適な方法を選択してください。多くのメリットがあるため、ぜひご検討ください。

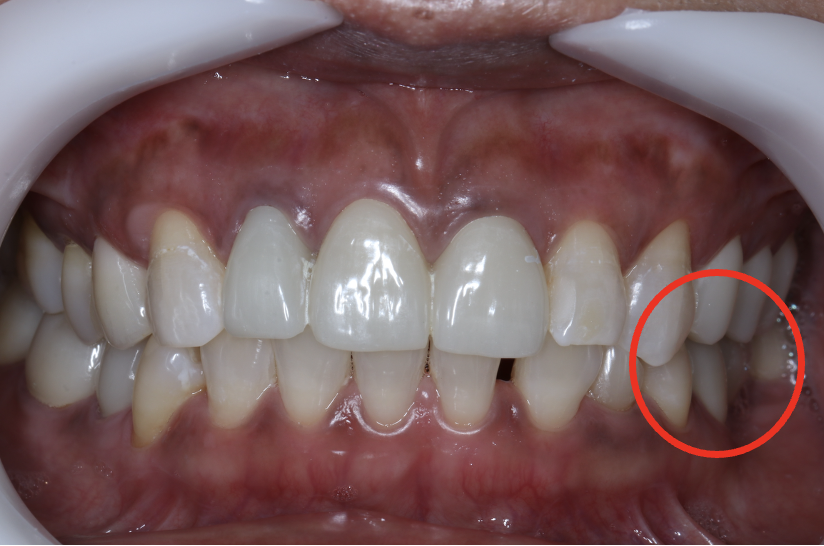
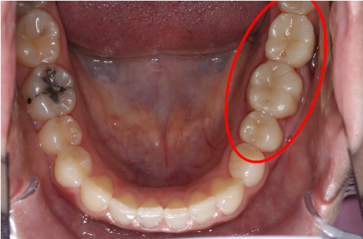
インプラント症例①

年齢 70代男性
治療期間 4ヶ月
インプラントメーカー ジンマーインプラント
治療内容 カスタムアバットメント、上部ジルコニア
治療箇所 右下5番、6番
治療費用 700,000円

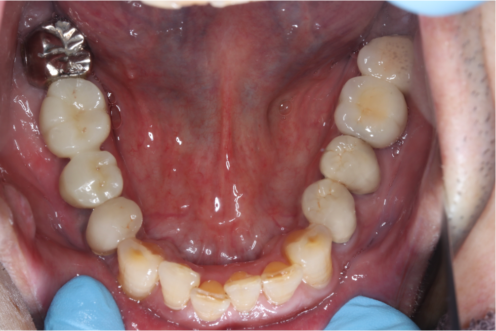
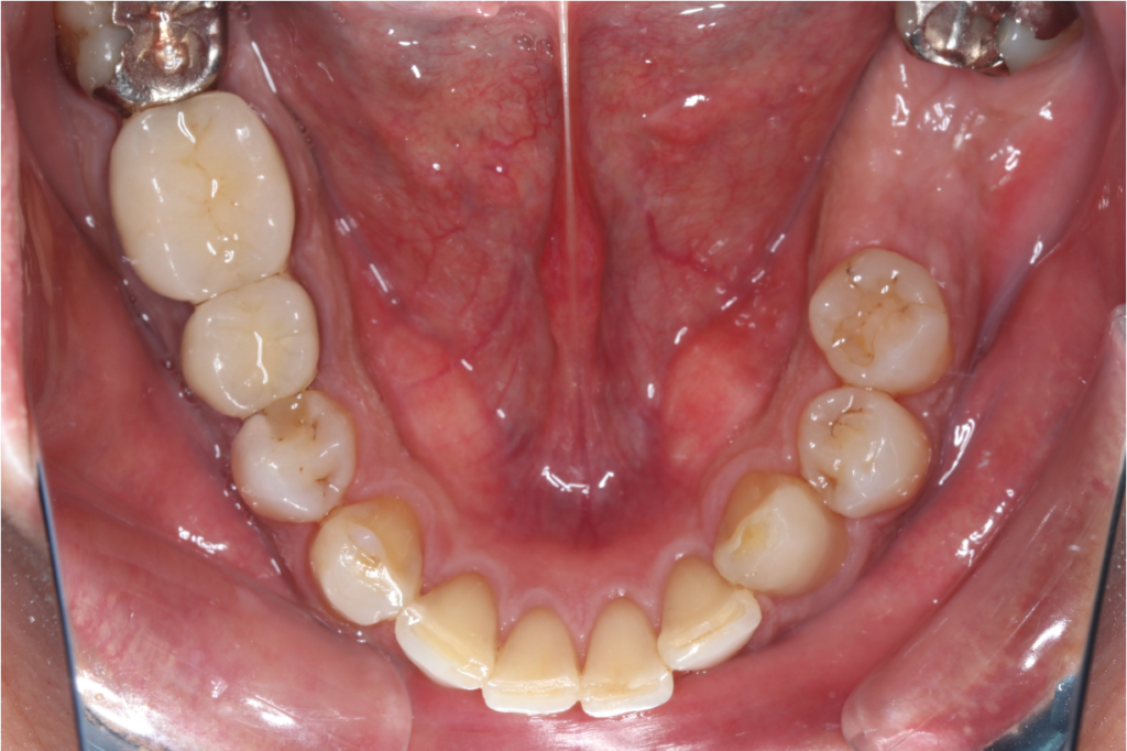
インプラント症例②

年齢 50代男性
治療期間 4ヶ月
インプラントメーカ ジンマーインプラント
治療内容 カスタムアバットメント、上部ジルコニア
治療箇所 左下6番
治療費用 380,000円

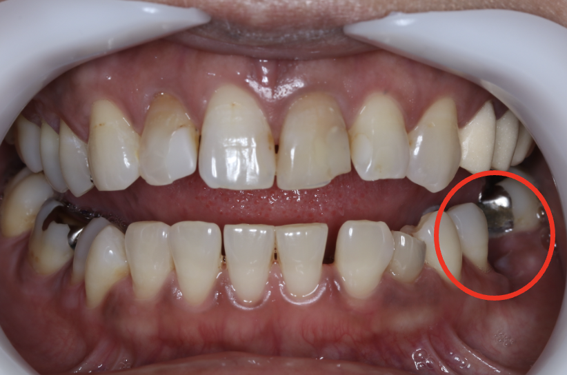
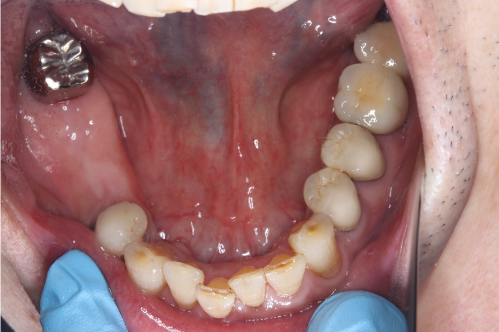
インプラント症例③

年齢 50代女性
治療期間 4ヶ月
インプラントメーカ ストローマンインプラント
治療内容 カスタムアバットメント、上部ジルコニア
治療箇所 左下5番、6番 右下6番、7番
治療費用 1,600,000円

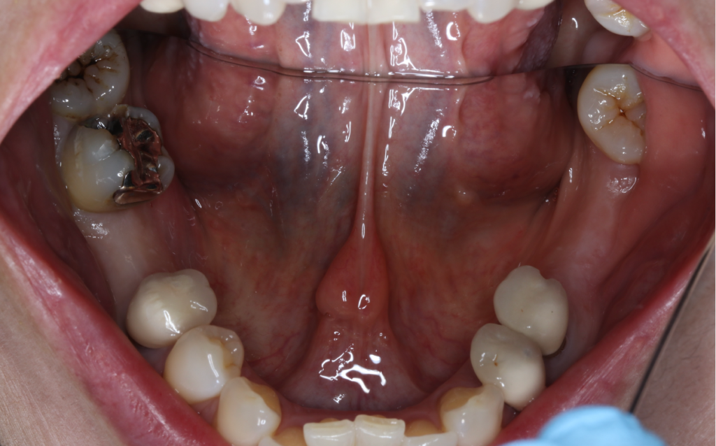
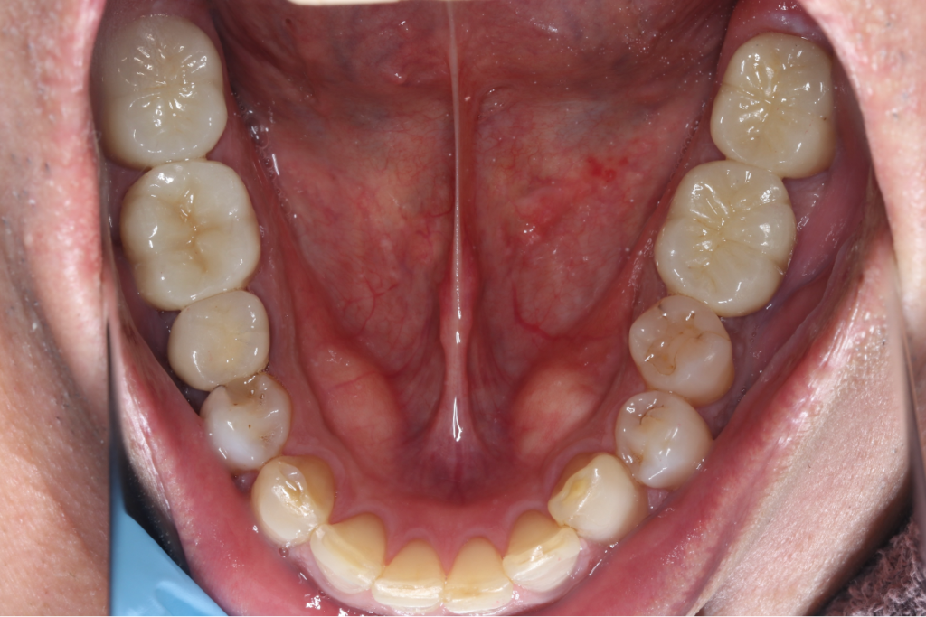
インプラント症例④

年齢 50代女性
治療期間 4ヶ月
インプラントメーカ ジンマーインプラント
治療内容 カスタムアバットメント、上部ジルコニア
治療箇所 左下6番
治療費用 380,000円

左下7番の破折により抜歯をし、インプラントをせずにブリッジで治療をした症例

年齢30代女性
治療期間3ヶ月
治療箇所左下5番、6番、7番
治療費用300,000円

インプラント治療の流れ

インプラント治療の流れ

当院で行っている一般的なインプラント治療の流れをご紹介します。

1カウンセリング

カウンセリングから手術・アフターメンテナンスまでの流れをご説明します。歯を欠損した場合、インプラント以外にもブリッジ・入れ歯といった方法があるため、患者さまのお口の状態を多角的に診断したうえで、最適な治療法をご提案いたします。

2模型診断と治療計画

カウンセリングにてインプラント治療をご希望された場合、まずはどのような形態の人工歯を入れることができるか、あらかじめ模型上で想定するため、口腔内の型取りを行います。さらにCT撮影を行い、レントゲンだけでは判断が難しい神経や上顎洞の位置など、インプラントを安全に埋め込むための必要な情報を正確に測定、これらの情報を収集したうえで最適な治療計画をご提案します。

3診査結果のご説明

診査結果をもとに、患者さまに治療方針・計画・費用についてくわしくご説明いたします。ご不明な点や不安がある際は、どのようなことでも結構ですので、お気軽にご質問ください。

4治療(必要な場合)

インプラントを長持ちさせるためには、歯周病や虫歯がある場合、インプラント治療を開始する前にこれらの治療を先に行う必要があります。治療だけでなく定期的な通院によって正しいブラッシング方法もご説明しますので、お口の中の状態をきれいに保ちましょう。

5術式についてのご説明

手術前には術式や治療計画についてご説明、患者さまに充分なご理解をいただいたうえで手術へと進みます。また、当院では手術の際、全身麻酔ではなく静脈内鎮静法を導入しております。患者さまにより安定した状態で手術を受けていただくためにも、麻酔医による全身状態のチェックやカウンセリングも受けていただきます。

61次手術

1次手術(1時間~1時間半)にて、顎の骨の中にインプラントを埋め込みます。手術後は顎の骨にインプラントが定着するまで、2~6か月の治癒期間を設けています。その間は仮歯を入れるため、日常生活に支障はありません。

72次手術(1時間~1時間半)

2次手術(1時間~1時間半)では人工歯を取り付けるため、インプラントを埋め込んだ箇所の歯茎を切開します。切開した傷口が治癒するまでに1~2週間かかります。

8上部装置の製作・装着

インプラントに装着するための人工歯の作製を行います。患者さまがご希望される色味や歯並びディスカッションしたうえで、よりご納得いただける上部装置を作製することをお約束いたします。

9定期メンテナンス

インプラントであってもご自身の歯であっても、毎日楽しく快適にお食事していただくには日々のお手入れが欠かせません。当院では歯科衛生士がクリーニングやブラッシング指導を行っております。

CT撮影の重要性

    CTの役割について インプラント治療において、顎の骨の形状を立体的に理解することは不可欠です。通常のX線撮影では二次元の画像しか得られないため、骨の立体的な形態や歯の配置、神経の位置などの詳細を正確に把握することが難しいです。その点、CTを利用すると、これらの構造を三次元で詳細に観察することが可能になります。この高い精度のため、当院では手術前のCT撮影を推奨しております。

インプラント治療の長所と短所

インプラント治療の長所と短所

インプラントには他よりも優れている点も多くありますが、欠点もあります。インプラント治療を受けられる前に、これらをよく理解しておきましょう。

インプラント治療の長所

  • 固定式なので安定性がよい
  • 天然歯と同様に食物をかみ砕ける
  • ブリッジと異なり周辺の歯を削らずに治療が可能
  • 周囲の歯に負担がかからないため、残っている天然歯の寿命を延ばすことができる
  • 審美性が高い

インプラント治療の短所

  • インプラントを植立する手術が必要
  • 保険適用外である
  • ごくまれにアレルギーが起こる
  • 症状や疾患によっては治療が出来ないことがある
  • インプラントを維持するためには定期的な手入れと検診が必要
  • 固いものを噛みすぎたり、喫煙者などはインプラントを支えている骨が壊れる可能性も

インプラント担当医

院長ご挨拶

理事長 伊澤 晃

当院では患者さまがインプラント治療に不安を感じないよう充分な設備を整え、長持ちさせるために患者さまへの説明や検査をしっかりと行っています。また患者さまそれぞれの状況に応じて、最善の治療をご提供させていただきますので、お気軽にご相談ください。

<所属>
日本口腔インプラント学会
日本補綴学会
日本歯周病学会 認定医
日本顎咬合学会 認定医
厚生労働省 臨床研修指導医
鶴見大学 歯周病学口座 専科
<経歴>
2006年 鶴見大学歯学部 卒業
2007年 医療法人審美会 鶴見歯科医院就業
2010年 SJCDベーシックコース
2012年 University of hawaii john a burns of medicine インプラント 短期留学
2013年 USC(南カルフォルニア大学)インプラント及び口腔外科 短期留学
2017年 港南台NEXUS DENTAL CLINIC 開業
2019年 医療法人社団翔晃会 設立

入れ歯との違い

入れ歯との違い

インプラント、ブリッジ、入れ歯には、それぞれに長所と短所があります。インプラントはかむ力・審美性に優れる一方で、外科的治療が必要となり、保険が適用とならないため費用も治療期間もかかります。一方ブリッジや入れ歯は外科的治療が不要で、保険適用のため費用も治療期間も少なく済みます。しかし見た目やかむ力はインプラントには及びませんし、違和感や異物感が生じることも少なくありません。

「入れ歯にすべきか、インプラントにすべきか」で悩む方もいらっしゃると思います。当院ではそれぞれの長所・短所をしっかりとご説明し、患者さまのお口の状態・ご要望に合ったご提案をさせていただきますので、まずはお気軽にご相談ください。

治療後のメンテナンスについて

インプラントは、周辺の組織に歯垢がたまりやすく、これが原因で細菌が繁殖し炎症を引き起こすことがあります。この状態を「インプラント周囲炎」と呼び、治療を怠ると骨が解け、インプラントが失われる可能性があります。インプラントを安全に長持ちさせるためには、治療後の定期的なメンテナンスが重要です。定期検診により炎症を早期に発見し対処することができますので、検査とクリーニングを徹底して行うことが推奨されます。

料金表

インプラント治療の基本料金

インプラント 1支台※補綴を含んでいます。 350,000円〜450,000円

※上記の料金に含まれるもの1次手術(人工歯根を入れる)、2次手術(歯茎を整形する)、アバットメント、上部構造物

※上記は税別価格です。

医療費控除について

インプラント治療は自費診療となるため、健康保険は適用されません。これにより、一般的な治療方法と比べて費用が高くなることがあります。ただインプラント治療にかかった費用は医療費控除の対象となります。治療費だけでなく、通院にかかる交通費も含まれます。医療費控除のメリットをしっかりとご理解いただき、ぜひ治療のご検討をお願い申し上げます。

よくある質問

人工歯を使用することで、虫歯になる心配はありませんが、歯の周囲には虫歯菌や歯周病菌が発生する可能性があります。これらの病原菌を放置すると、「インプラント周囲炎」と呼ばれる炎症が起こる可能性があります。したがって、インプラントを使用していても、大切な歯を守るためには定期的なメンテナンスが必要です。

はい、可能です。

入れ歯を長期にお使いの場合、骨の吸収はある程度進んでいると思われます。

CTにて骨量を確認して治療計画を立てていきます。

可能です。

ケースによりますが、痛み止めや腫れ止めも点滴に使いますのでほとんどのケースで大きく腫れることはありません。

ご予約・お問合せは
お気軽に

港南台にお住いの方で歯周病治療・インプラント治療のことでお困りでしたらご相談ください。

pageTop