セラミック治療・審美歯科

審美歯療とは?

審美治療とは?

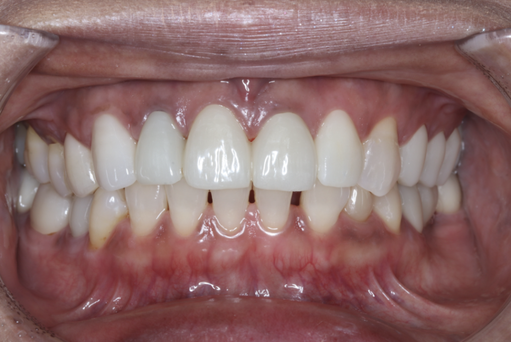
審美治療とは、美しい口もとをつくることを目的とし、単に虫歯の治療をするだけではなく患者さま一人ひとりに対して美しさと自然な口もとを実現する治療です。当院では、ただ歯を白くするだけではなく、「歯の機能を回復する」ことにも着目した治療をご提案、患者さまの印象的な笑顔づくりをお手伝いします。

こんな方におすすめです

  • 以前白いつめ物をしたが、その部分の歯が黄ばんできた
  • すきっ歯や銀歯が気になって思い切り笑えない
  • かぶせた歯のフチや、周りの歯肉が黒くなっている
  • 笑うと詰め物の金属が見えるのが気になる
  • 小さいときから歯にシマ模様や色むらがある
  • 年々、歯の黄ばみがひどくなってきた

審美治療の種類について

オールセラミッククラウン

セラミック(陶器材料)でできた被せ物や差し歯をつかった審美的治療。天然歯に近く、金属を使わないので、アレルギーのある人でも安心して治療が受けられる。

ジルコニア

優れた耐久性と強度を誇るジルコニアにセラミックスを焼き付けた被せ物を使い、金属と同レベルの強度で、天然歯に近い白さ・透明感を実現。

メタルボンド

内部は金属。外側部分にのみセラミック(陶器)を貼り付けたクラウン(被せ物、差し歯)。強度があり、変色もしにくいのでどこの部位にも使用しやすい。

セラミックインレー

虫歯治療後の銀歯を歯と同じ色のセラミック製の詰め物で目立ちにくくする治療法です。

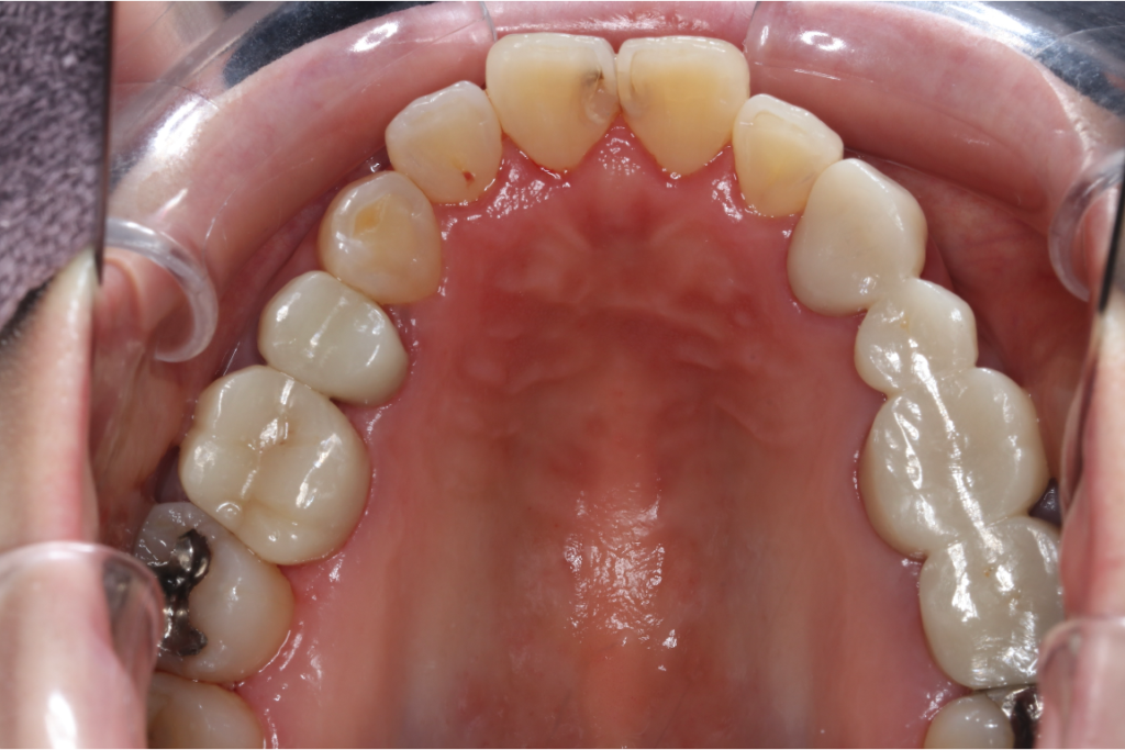
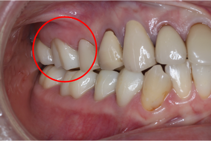
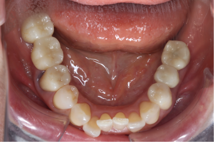
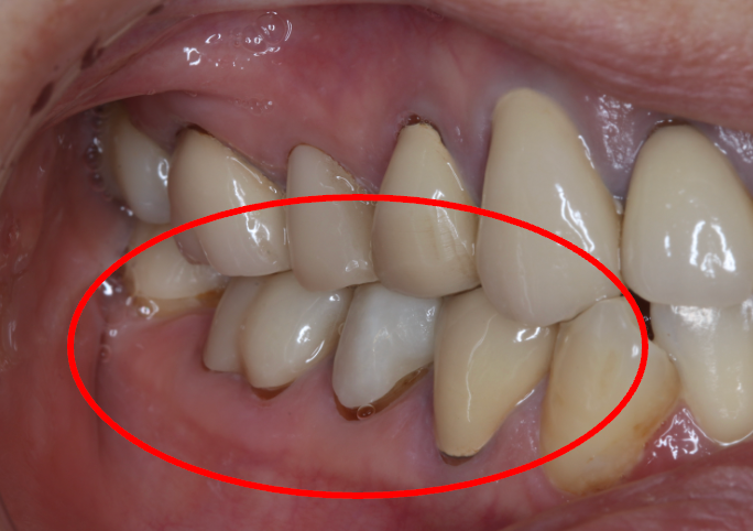
セラミック症例①

年齢40代女性
治療期間1ヶ月
治療内容ジルコニア、セラミックインレー、セラミッククラウン
治療箇所左上1番、2番 左下5番、7番 右上1番、2番、3番、4番、5番 右下5番、6番、7番
治療費用100,000円

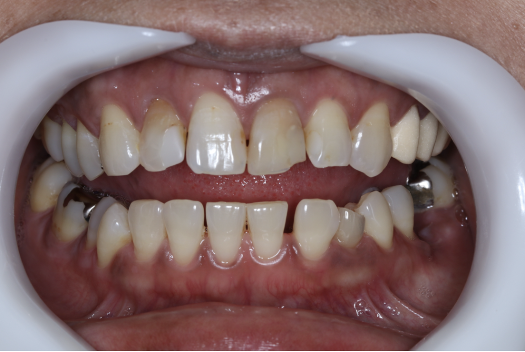
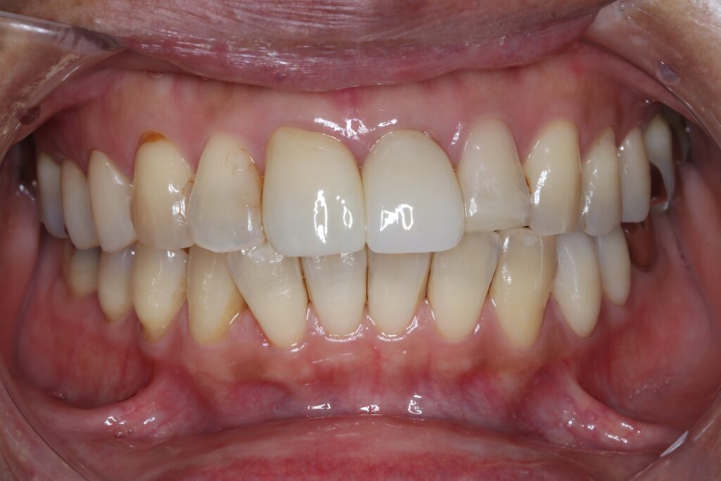
セラミック症例②

年齢 40代女性
治療期間 1ヶ月
治療内容 ジルコニア
治療箇所 右上6番
治療費用 100,000円

セラミック症例③

年齢30代女性
治療期間1ヶ月
治療内容セラミックインレー
治療箇所右下4番
治療費用100,000円

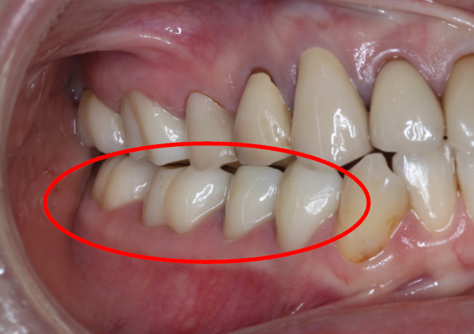
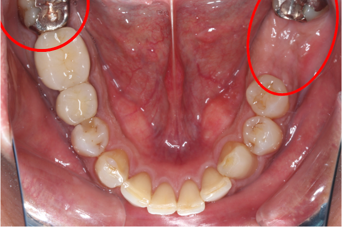
セラミック症例④

年齢50代男性
治療期間1ヶ月
治療内容セラミックインレー、クラウン
治療箇所

左下7番 左上4番、5番、7番 右下6番 右上5番

治療費用600,000円

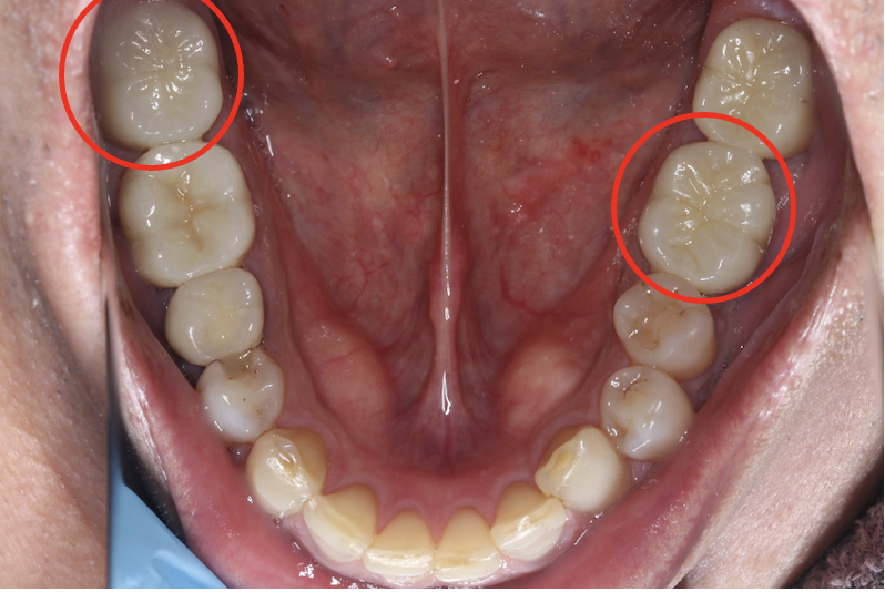
セラミック症例⑤

年齢50代女性
治療回数4回
治療内容セラミックインレー、クラウン
治療箇所

右下4番、5番、6番、7番 右上6番

治療費用500,000円

セラミック症例⑥

年齢50代女性
治療期間6ヶ月
治療内容セラミッククラウン
治療箇所

右下4番、5番、6番 左上下4番

治療費用500,000円

セラミック症例⑦

年齢70代女性
治療期間3ヶ月
治療内容セラミッククラウン
治療箇所左上6番、左下5番
治療費用200,000円

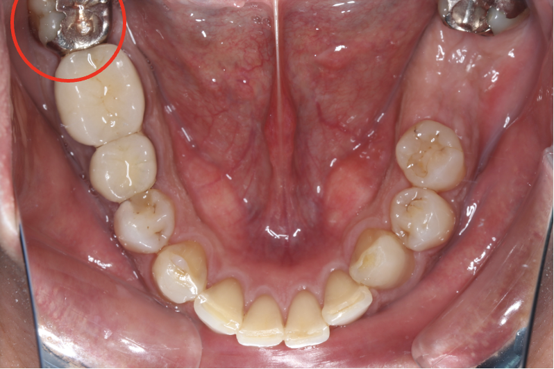
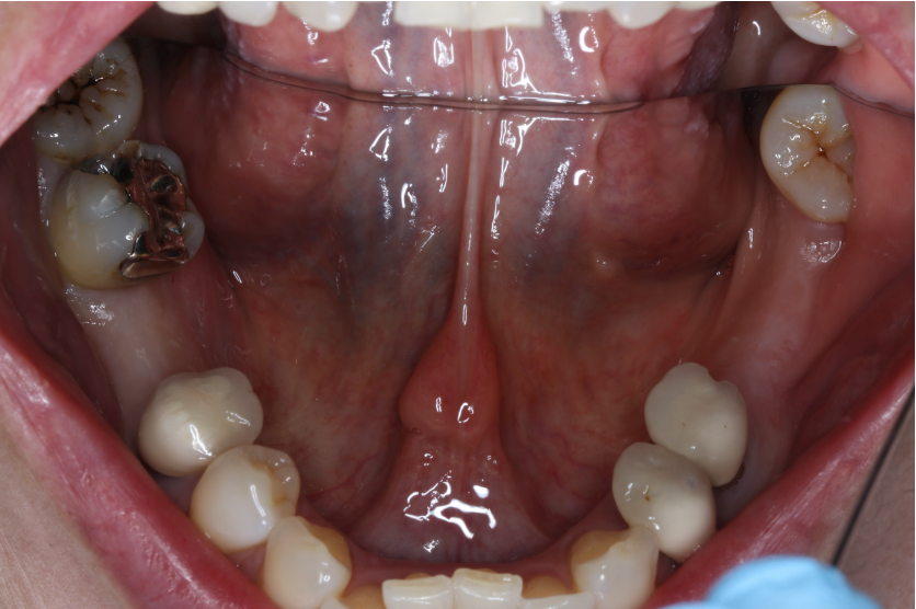
セラミック症例⑧

年齢40代女性
治療回数3回
治療内容セラミッククラウン
治療箇所左下6番
治療費用100,000円

セラミック症例⑧

年齢40代女性
治療期間2ヶ月
治療内容セラミッククラウン
治療箇所左上1番
治療費用100,000円

ご予約・お問合せは
お気軽に

港南台にお住いの方で歯周病治療・インプラント治療のことでお困りでしたらご相談ください。

pageTop